整形外科
Orthopedic Surgery
整形外科について
About Orthopedics
整形外科は、骨・関節などの骨格系や周りの筋肉および神経系からなる運動器の機能改善を図るための治療です。
ワンちゃんでは骨折や関節の脱臼が多く、ネコちゃんでは骨折が多いと言われています。
ワンちゃんネコちゃんは体格や性格がそれぞれ異なります。なので、当院では一頭一頭に適した治療法を行えるよう尽力します。
少しでも歩行が気になれば、お気軽にご相談ください。
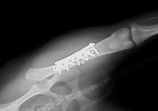
骨折
Fracture
-
原因
-
骨折とは、交通事故や落下など骨に強い負荷がかかり、折れてしまうことです
-
症状
-
骨折の症状として多いのは、強い痛みです。
小型犬に特に多いのが 前足の骨折で、椅子やソファの高さからジャンプしただけで、骨が折れてしまうケースがよくあります。
ネコちゃんは後足の骨折が多いです。骨折すると、折れた足をかばうように上げたまま歩くなどの歩行障害が見られるようになります。
膝蓋骨脱臼(パテラ)
Patellar
-
原因
-
膝蓋骨脱臼とは、膝のお皿(膝蓋骨)が、「滑車溝」という溝から外れて脱臼してしまう病気です。本来あるべき場所に収まってない病気です。
-
症状
-
小型犬に多い病気ですが、特に症状を示さないことも多いので、気付かない飼い主さんも多く、驚かれる方もいます。
膝蓋骨が外れると後ろ足をピンと伸ばしたような歩行を行い、数秒で元の歩き方に戻ったりする間欠的な症状が一般的です。
脱臼の程度によってグレード分類(進行度合い)があり、グレードが高くなるにつれ関節や靭帯に傷がついてしまい、痛みがでてきます。
靭帯に傷がついて断裂を起こすこともあります。
さらに病態が進行し悪化すると、筋肉の萎縮や骨、関節の変形が起こり、痛みが増し、内股に歩くなどの歩行障害を引き起こします。
関節の変形が起こる前に手術をすることにより、将来起きるであろう変形や靭帯断裂を防ぐことができます。
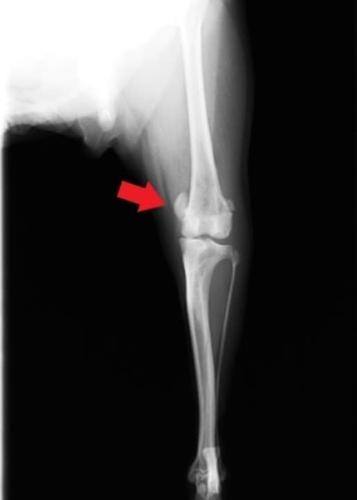
前十字靭帯断裂
Anterior Cruciate Ligament rupture
-
原因
-
前十字靭帯とは、膝の動きをコントロールする靱帯が断裂した状態です。前十字靭帯が断裂すると、膝関節が不安定になり、体重をのせて歩行が困難になります。小型犬では膝蓋骨脱臼も併発してることが多いです。
-
症状
-
症状は後足の挙上です。患肢が完全に地面につかず、一般的に痛みを伴うので、足を触ると怒ったりします。
一般的にレントゲンや触診での診断が多いですが、レントゲンで靭帯を確認することはできません。
当院はMRIがあるので、靭帯の断裂をMRIによって診断することが可能です。 -
治療
-
治療は超小型犬であれば、安静と鎮痛剤で治療することもありますが、基本的に手術を行うことが多いです。手術は、関節外制動術と脛骨高平部水平化骨切り術(TPLO)の2種類があり、ワンちゃんの大きさや性格により術式を選択し、手術を行います。
関節外制動術は、靭帯用の糸を用い切れた靭帯の代わりをしてもらい、膝を安定化させる手術です。
しかし、中型犬になるとこの糸が切れてしまうので、8kgを超えるワンちゃんには適応しないこともあります。
脛骨高平部水平化骨切り術(TPLO)は、脛骨を切ってプレートで固定することにより、脛骨の頭側への移動を防ぎ、膝を安定化させる手術です。
8kgを超えるワンちゃんには、この術式で行うことが多いです。
当院ではどちらの術式も行えますので、お気軽にご相談ください。










